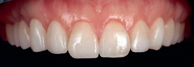
Dental Veneer
Dental veneers are thin, custom-made shells that are applied to the front surface of teeth to improve their appearance. They are an excellent solution for people looking to correct discolored, chipped, or unevenly shaped teeth, as well as close gaps between teeth or create a more uniform smile.
Types of Dental Veneers
Porcelain Veneers (E- Max & Feldspathic): These are the most common type of veneers and are highly popular due to their durability and natural appearance. Porcelain mimics the light-reflecting qualities of natural teeth, creating a realistic look. They are also resistant to stains, making them ideal for patients who want long-lasting results. We started to provide these sophisticated veneer system in our practice. We have the lab support to provide this sophisticated smile design to make your smile more natural and attractive,
Composite Resin Veneers: Made from a tooth-colored composite material, these veneers are typically less expensive than porcelain veneers. They can be applied in a single visit, as they are sculpted directly onto the teeth. While composite veneers can be repaired if damaged, they are generally less durable and more prone to staining than porcelain.
Lumineers: Lumineers are a type of ultra-thin porcelain veneer that requires no tooth preparation. They are often reversible, as they do not require the removal of tooth enamel, making them a good choice for those seeking a less invasive option. Lumineers Still not available in out practice
Each veneer type has its pros and cons, so choosing the right one depends on individual needs, budget, and desired results. A consultation with a dentist can help patients decide on the best veneer option to achieve their ideal smile.
Frequently asked questions about dental veneer
How long do veneers last?
Porcelain veneers typically last between 10-15 years with proper care, while composite resin veneers may last around 5-7 years. Good oral hygiene and avoiding habits like biting hard objects can help extend their lifespan.
Are veneers painful to get?
The procedure is usually not painful. Some enamel may need to be removed, which can cause mild discomfort, but local anesthesia is often used to ensure comfort. After the procedure, some patients may experience mild sensitivity, which generally subsides in a few days.
Do veneers look natural?
Yes, high-quality porcelain veneers closely mimic natural teeth and can be color-matched to blend seamlessly with the surrounding teeth. Dentists take great care to ensure that veneers have a realistic appearance.
Can I eat normally with veneers?
Yes, but it’s advisable to avoid biting into very hard foods or using teeth with veneers to open packages, as this can damage them. Practicing good dental hygiene and being mindful of certain foods can help keep veneers in good condition.
Do veneers stain like natural teeth?
Porcelain veneers are more resistant to stains than natural teeth or composite veneers, but they can still discolor over time with exposure to certain foods, drinks, or smoking. Regular cleaning and avoiding staining substances can help them stay bright.
Digital Smile Design (DSD)
Digital Smile Design (DSD) is an advanced technology that allows us to plan and visualize your new smile before starting treatment. Using digital photos and analysis, we design a smile that complements your facial features, ensuring natural and aesthetic results. This approach improves communication, increases precision, and helps deliver predictable, patient-centered outcomes.
Step-by-Step Digital Smile Design Process:
Consultation & Digital Records
We begin with a detailed dental examination, high-quality photographs, videos, and digital scans to understand your smile and facial features.Smile Analysis & Custom Design
Using advanced software, we analyze tooth shape, facial symmetry, and smile proportions to create a customized smile design.Smile Simulation Preview
A digital preview of your new smile is generated so you can see the expected results before treatment begins.Patient Discussion & Approval
We review the design with you and make adjustments based on your preferences to ensure complete satisfaction.Trial Smile (Mock-up)
A temporary mock-up may be placed in your mouth, allowing you to experience the look and feel of your new smile.Final Smile Transformation
Based on the approved design, treatments such as veneers, crowns, teeth whitening, orthodontics, or dental implants are performed.




















