What Is a Dental Implant? A dental implant is a small titanium post that is surgically placed into …
What Is a Dental Implant? A dental implant is a small titanium post that is surgically placed into …
Many patients visiting Dental Care with Dr Rahman ask an important question: “Doctor, I am taking blood thinners. …
Dental Implant and Heart Disease Many patients with heart problems often feel worried about having a dental implant. …
Loosing teeth is very common among patients with prolong diabetes due to gum disease and gum bone loss. …
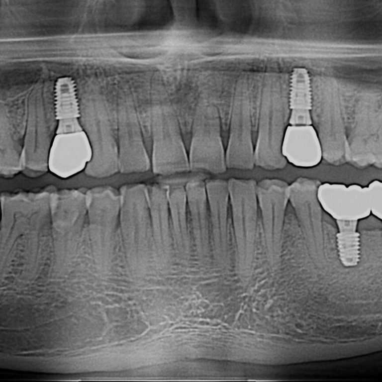
If you have one or more missing teeth, a dental implant is the most reliable and long-lasting solution …
IntroductionDental health is closely linked to our overall well-being. When we lose a tooth, it not only affects …
Dental Implant is the most popular way to replace missing teeth. Placing dental dental implant is pleasant surprise …