In today’s world of modern dentistry, patients seeking orthodontic treatment are often presented with two main options: traditional dental braces or clear aligners like Invisalign. While clear aligners are popular for their discreet appearance and removability, traditional braces remain the most reliable and effective option — especially when it comes to achieving long-term, stable results …
In today’s world of modern dentistry, patients seeking orthodontic treatment are often presented with two main options: traditional dental braces or clear aligners like Invisalign. While clear aligners are popular for their discreet appearance and removability, traditional braces remain the most reliable and effective option — especially when it comes to achieving long-term, stable results in a wide range of dental cases.
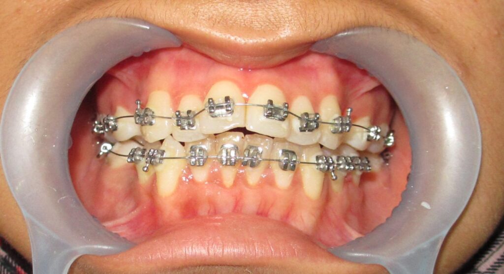
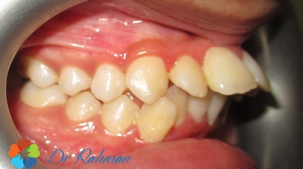
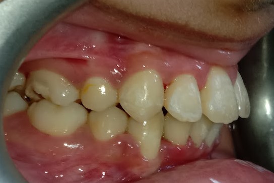
One of the biggest advantages of dental braces is their ability to correct complex orthodontic problems. Braces can address issues such as severe crowding, large gaps, rotated teeth, crossbites, overbites, and underbites with high precision. Unlike clear aligners, which are typically most effective for mild to moderate alignment issues, braces are designed to apply continuous pressure in multiple directions. This allows for more controlled and predictable tooth movements, especially in cases that require significant changes to the bite or jaw alignment.
Another key benefit of braces is that they are fixed to the teeth, meaning they are always working. Clear aligners rely heavily on patient compliance — they must be worn for 20 to 22 hours per day to be effective. If a patient forgets to wear them or removes them too often, treatment can be delayed or less effective. This is particularly important for teenagers or younger patients, who may not always follow instructions consistently. Braces eliminate this issue because they can’t be removed, ensuring consistent progress throughout the treatment.
- The primary reason braces remain the gold standard is their ability to deliver precise, controlled movements of teeth, often achieving results that clear aligners struggle to match in difficult cases.






Orthodontists also have greater control with braces. During regular visits, they can make precise adjustments to the wires and brackets, guiding the teeth into their ideal positions. This hands-on approach allows for more accurate treatment planning and faster response to changes in tooth movement. In contrast, clear aligners are typically provided in pre-designed sets, with fewer in-person checkups, which limits the orthodontist’s ability to make real-time modifications.
From a cost perspective, traditional braces are generally more affordable than clear aligners. While pricing can vary depending on the severity of the case and the duration of treatment, braces often provide a better value for patients who need comprehensive correction. In addition, modern braces are not as bulky or noticeable as they once were. Today, patients can choose from metal, ceramic (tooth-colored), or even lingual braces that are placed behind the teeth, offering more aesthetic flexibility without sacrificing effectiveness.