Gum disease is a most common disease similar to dental decay. Everyone experiences gum disease at any stage …
Gum disease is a most common disease similar to dental decay. Everyone experiences gum disease at any stage …
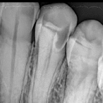
Dental cavity is a most common dental disease. Millions of people in all ages affected by dental cavity. …
When most people think about gum disease, they imagine bleeding gums, bad breath, or even tooth loss. But …